Giới thiệu
BS Đỗ Hoàng Dũng
Lịch khám trong tuần
Dịch vụ
Tiết Niệu
Nam khoa
Tiết niệu nữ
Tiết Niệu - Cấp Cứu
Tiết niệu - Phụ khoa
HƯỚNG DẪN LÂM SÀNG TIẾT NIỆU
Chuyên môn
Nam khoa
Tiết niệu
Hướng dẫn lâm sàng
Sức khỏe số (e-HL)
Thông tin
Hướng dẫn tìm kiếm
Đăng ký nhận sổ tay
Bài kiểm tra e-HL
Phản hồi
Liên hệ
Đặt lịch:
0903939539
UNG THƯ, TUYẾN TIỀN LIỆT
Trang chủ
Chuyên môn tiết niệu
29
Jun
Ung thư tuyến tiền liệt, nguyên nhân khác làm tăng PSA
24
Feb
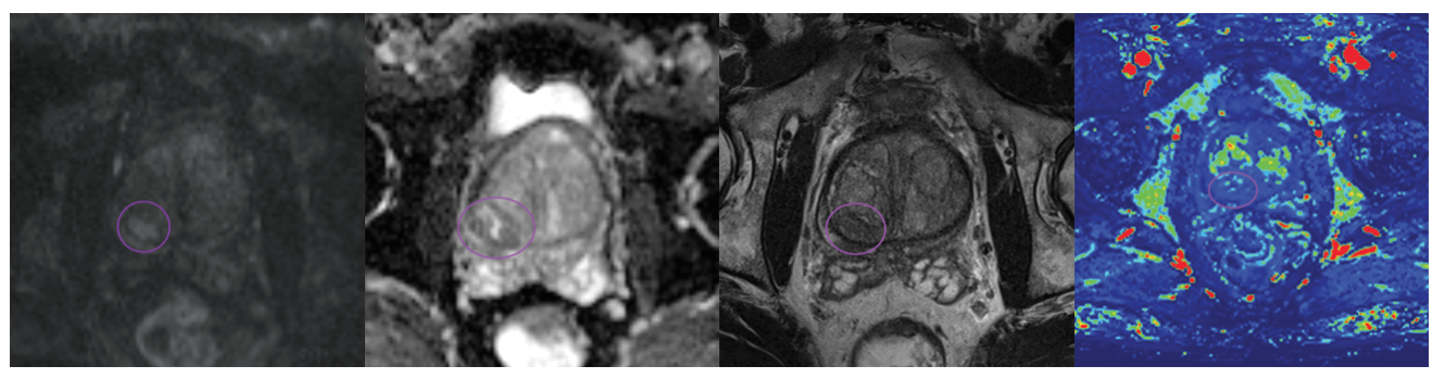
Đánh giá ung thư TLT trên MRI bằng PI-RADS. Phiên bản mới 2.1 (2023)
19
Nov
Ung thư tuyến tiền liệt di căn xương gây đau (PCIBP)
1
Đăng ký nhận thông tin
Đăng ký
© Copyrights 2024 BSDoHoangDung.com All Rights Reserved.